2025年5月16日,一场细菌鉴别科普体验活动在河南应用技术职业学院开封校区南院举行,各专业学生踊跃参与,共同开启微观探索之旅。活动伊始,李艳提老师以生动形式开启细菌科普小课堂。借助图片、动画视频和通俗语言,为学生们介绍细菌的基本概念、种类、分布及在自然和人体健康中的作用。从酸奶中的乳酸菌到致病菌,学生们听得入神,对细菌有了初步认知。


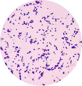
随后进入细菌鉴别实验体验环节,同学们纷纷戴上手套,先涂片固定,接着对细菌进行初染—媒染—脱色—复染,最后将显微镜下观察细菌的颜色。


依据所学知识尝试鉴别细菌。参与活动的学生称,活动将理论与实践结合,加深了对细菌鉴别的理解,锻炼了实践能力,还体会到科普的乐趣。同学们也兴奋表示,活动有趣,以后会更加注意个人卫生。此次活动通过理论与实践结合,激发了他们对科学探索的兴趣。未来我们会开展更多科普活动,为学生提供更多接触科学的机会,助力培养有科学素养和创新精神的人才。